
مؤسس دکتر مهشید حقیقی
دانشیار دانشگاه علوم پزشکی اصفهان
بورد تخصصی رادیولوژی
دارای دوره فوق تخصصی تصویر برداری و نمونه برداری پستان از امریکا
هوالشافی




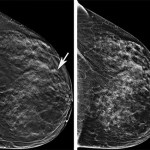
اولین مرکز ماموگرافی رنگی با کنتراست در ایران



اولین مرکز ماموگرافی رنگی با کنتراست
در ایران
اولین مرکز ماموگرافی رنگی با کنتراست
در ایران
مرکز سونوگرافی و رادیولوژی قصرنور
مرکز سونوگرافی و رادیولوژی قصرنور آماده ارائه انواع خدمات سونوگرافی های دو بعدی و سه بعدی، غربالگری دوران بادرای، ماموگرافی، سنجش تراکم استخوان، نمونه برداری تیروئید، نمونه برداری از پستان، سونوگرافی ترانس رکتال و… به شما سروران گرامی می باشد.
همکاری با بیمه
ما با همکاری شرکت های ارائه دهنده خدمات بیمه گام موثری جهت کاهش هزینه های درمانی شما برداشته ایم.
تجهیزات پیشرفته
این مرکز ارائه دهنده انواع خدمات تصویر برداری - پزشکی با استفاده از مدرن ترین دستگاه ها و تجهیزات می باشد.
خدمات
انجام تصویربرداری در زمان تعیین شده موجب جلوگیری اتلاف وقت و همچنین آسودگی خاطر شما عزیزان می شود.
پزشکان متخصص
به منظور به دست آوردن نتایج دقیق ، مرکز ما با پزشکان متخصص و کادر درمان حرفه ای همکاری می نماید.
بخش های مرکز


سونوگرافی
سونوگرافی ، صوت نگاری یا اکوگرافی ، یکی از روش های تشخیصی در پزشکی می باشد ، که توانایی تشخیص بسیاری از بیماری ها را دارد. با این روش می توان تمام بافت های زیر جلدی مانند مفاصل ، عضلات…

رادیولوژی
رادیولوژی ، یکی از شاخه های پزشکی که برای تشخیص و درمان بیماری ها از طریق اشعه ایکس تمرکز می کند و به دو حوزه گسترده تقسیم می گردد ؛ که عبارت اند از : رادیولوژی تشخیصی و مداخله ای. پزشکی…

ماموگرافی دو بعدی-سه بعدی (توموسنتز)
در اکثر مواقع ، موثرترین روش جهت تشخیص سرطان پستان ماموگرافی ( Mammography ) می باشد ؛ زیرا در این روش حتی توده های سرطانی بسیار کوچک که حس نمی شوند نیز مشخص هستند. بنابراین غربالگری ماموگرافی از اهمیت بسیاری…

سنجش تراکم استخوان
تست سنجش تراکم استخوان، تست ساده و غیر تهاجمی است که به بررسی و ارزیابی استحکام و مقاومت استخوان ها می پردازد تا میزان آسیب پذیری آن ها به ضربه، شکستگی و احتمال بروز پوکی استخوان مشخص شود. واقعیت این…
بخشی از ویژگی های مرکز سونوگرافی و رادیولوژی قصرنور
تجهیزات پیشرفته
این مرکز ارائه دهنده انواع خدمات تصویر برداری پزشکی با استفاده از پیشرفته ترین تجهیزات است .
پزشکان متخصص
به منظور به دست آوردن نتایج با کیفیت و دقیق از آزمایشات و تصویربرداری ها صورت پذیرفته ،سعی کرده ایم تا از طریق همکاری با پزشکان متخصص و فوق تخصص ، آسودگی خاطر شما را فراهم آوریم.
قرارداد با بیمه
برای کاهش هزینه های درمانی جهت قرارداد مستقیم با مراکز بیمه های متعدد اقدام نموده ایم .
دریافت نوبت اینترنتی

پزشکان متخصص
گالری کلینیک ما
گالری
خدمات ما
سونوهیستروگرافی چیست؟
سونوهیستروگرافی یکی از روش های معاینه داخل رحم برای خانم ها است که در ان از امواج رادیویی…
هیستروسالپنگوگرافی چیست؟
HSG(هیستروسالپنگوگرافی ) یک روش اشعه ایکس است که برای مشاهده داخل رحم و لوله های فالوپ استفاده می…
توموسنتز (ماموگرافی سه بعدی) چیست؟
توموسنتز (ماموگرافی سه بعدی) توموسنتز یا ماموگرافی “سه بعدی” نوع جدیدی از ماموگرافی دیجیتال با اشعه ایکس است…
تنها مرکز تشخیص پوکی استخوان به روش DXA
تنها مرکز تشخیص پوکی استخوان استخوان های قوی برای سلامتی شما مهم هستند. تست تراکم مواد معدنی استخوان…
اولین مرکز ماموگرافی رنگی با کنتراست در ایران
ماموگرافی رنگی با کنتراست (Contrast Enhanced Mammography-CEM) : یک تکنیک تصویربرداری جدید است که شامل تزریق ماده حاجب…











